Developmental dysplasia of the hip (DDH) is a biomechanical disorder affecting approximately 2%-4% of infants in the Netherlands. Early detection of DDH, in the first six months after birth, allows for effective treatment. In the Netherlands, early detection of DDH is integrated into the Child Health Care (CHC) disease prevention program and is performed at the CHC centers. Screening is based on identifying risk factors (physical examination, breech position, family history) and when an infant is deemed at risk, it is referred to a hospital for an ultrasound. The sensitivity of this current prevention program without ultrasound is 86%, implying that approximately one out of seven infants with DDH remains undiagnosed at an early stage. In addition, the specificity of this screening is 82%, which means that approximately 6 out of 7 referred infants do not have DDH.
Ultrasonographic examination stands as the global gold standard for diagnosing DDH. Since a well-trained sonographer is crucial for accurate ultrasound-based classification of DDH, diagnosis cannot be performed at the CHC center because it requires months of training. Within this research, artificial intelligence (AI) is used to enable a guided ultrasound acquisition of the infant hip at the CHC center to establish a universal and consistent screening system, provide appropriate care at the right place, minimize interrater variances, enhance sensitivity, and contribute to cost reduction.
CHC physicians were trained to perform the ultrasound of the hip using a hand-held device, the Telemed MicrUs Pro-L40S, in combination with a smartphone application and an AI algorithm. This acquired data was evaluated by trained radiologists to assess whether the acquired ultrasound could be used to determine if DDH was absent according to the method of Graf. When it could be concluded that DDH could be ruled out for both hips of an infant, this infant does not require a referral to the hospital anymore.

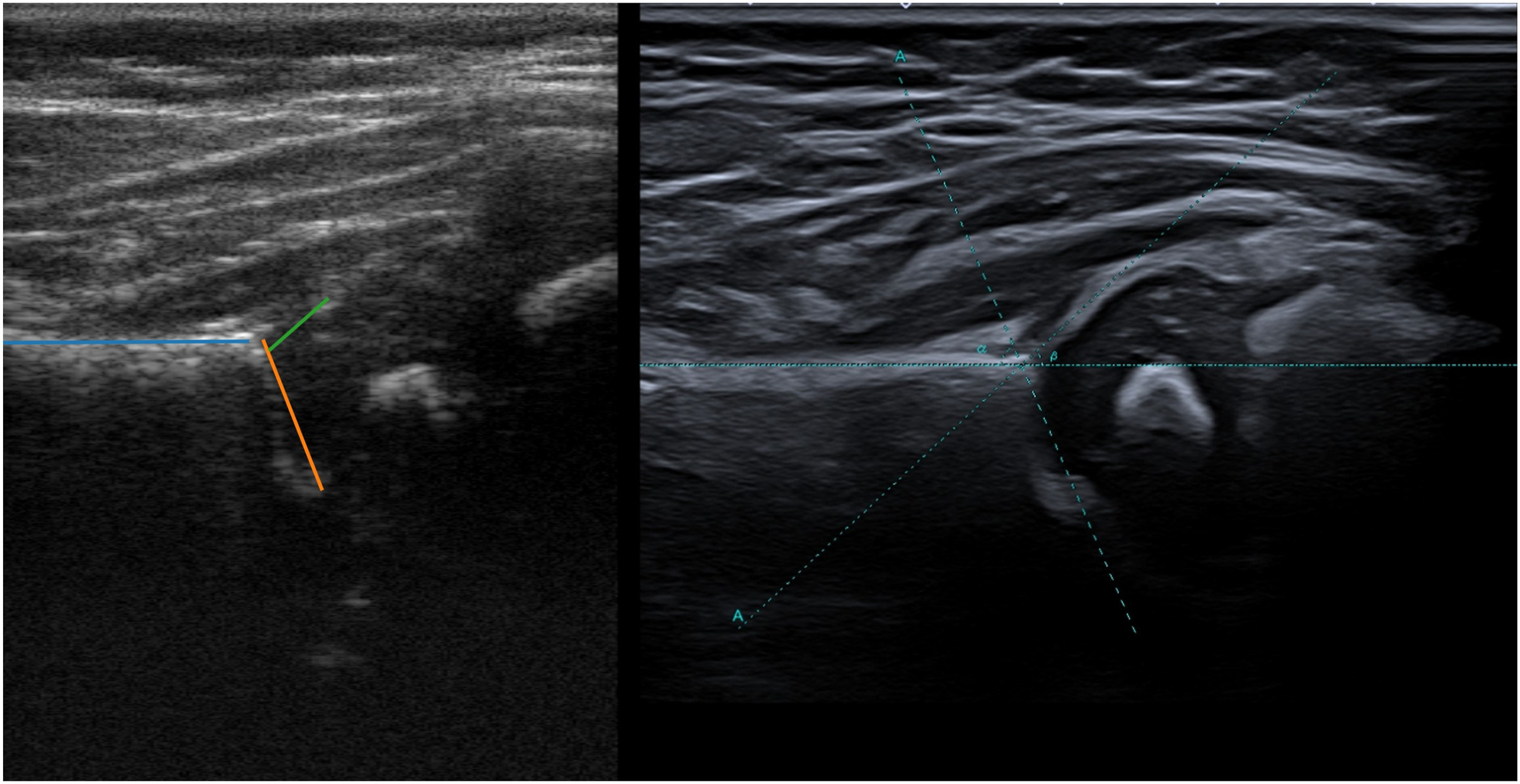
Our feasibility study [Kersten et al. 2025] shows that a radiologist is able to rule-out DDH in 82 % of hips using an AI-assisted ultrasound acquired by a novice user with 1 hour of training. Below shows an example of an ultrasound image acquired by the novice user within this study.

Figure: Left hip of a female infant at the age of 15 weeks, term 40 + 0 weeks, and reason for referral was a family history positive for DDH. Left image: selected frame of acquisition of novice user with α-angle 69°, β-angle 41° and diagnosis ‘no DDH’. Right image: ground truth ultrasound by a radiologist with α-angle 67°, β-angle 43° and diagnosis ‘no DDH’.
The study of Verhoeven et al. (2025) showed that the use of artificial intelligence assisted hip ultrasound in selective screening of developmental hip dysplasia could reduce the number of hip ultrasound referrals by 56 %.
Ardim, a spin-off Radboudumc, is currently in the process of CE certification of this research, so it can be used in clinical practice.
DDH SCREEN US: Ultrasound screening for developmental dysplasia of the hip at the child health care center (Public-Private Partnership grant, Health~Holland)
AI-ondersteunde echografie voor screening van heupdysplasie in zuigelingen (Open ronde Vroege Opsporing 2024 – 2025, ZonMw)